Un sorriso bello e funzionale è il miglior regalo per la tua salute
Laura Balducci
Odontoiatra specializzata in Ortognatodonzia
La Tua Ortodonzista di Fiducia
Sono Laura Balducci, e sono qui per aiutarti a ottenere il sorriso che meriti.
Sono nata in Sardegna il 29 Giugno 1974 e, dopo aver completato la maturità scientifica, mi sono lanciata nel mondo dell’Odontoiatria presso l’Università di Ancona.
La mia vera passione? L’ortodonzia!
Ho approfondito questa specialità all’University of Illinois a Chicago, USA, dove ho avuto l’onore di imparare dai migliori del settore e dai maestri dell’ortodonzia. Qui ho conseguito la specialistica di Ortognatodonzia e il Master in Scienze Odontostomatologiche.
Da quando sono tornata in Italia, nel 2006, mi dedico con passione alla cura dei miei pazienti, collaborando con studi odontoiatrici di alto livello. Dal 2017 sono riconosciuta ufficialmente come Specialista in Ortognatodonzia anche in Italia.

Quali problematiche tratto?
Mi occupo delle principali problematiche dentali, scheletriche e articolari, utilizzando tecnologie avanzate e materiali di alta qualità per offrire trattamenti efficaci e confortevoli.
Malocclusioni dentali
Correggo denti affollati, mal posizionati o con morsi scorretti (aperti, profondi o incrociati), utilizzando apparecchi di ultima generazione come quelli fissi con attacchi autoleganti a bassa frizione. Grazie allo scanner intraorale, garantisco diagnosi precise e massimo comfort.
Malocclusioni scheletriche
Tratto disallineamenti delle ossa del viso e asimmetrie, intervenendo con apparecchi funzionali nei giovani e, se necessario, con chirurgia ortognatica negli adulti.
Problemi gnatologici
Gestisco disturbi delle articolazioni temporo-mandibolari, come dolori mandibolari o click articolari, con terapie personalizzate.
Ogni trattamento è su misura per offrirti un sorriso sano, bello e funzionale.
Benessere e Armonia del Sorriso
La mia missione è unica e semplice: regalarti un sorriso che non solo sia fantastico, ma che funzioni anche nel miglior modo possibile.
Credo fermamente che un sorriso bello e sano contribuisca al benessere generale delle persone. Mi dedico con passione e professionalità al mio lavoro, cercando sempre di rendere l’esperienza ortodontica positiva e il meno impattante possibile per i miei pazienti.
CHI SONO I MIEI PAZIENTI?
Il mio compito è quello di aiutare:
Bambini
I bambini durante la crescita a sviluppare le basi migliori per un sorriso futuro bello e funzionale.

Adolescenti
Gli adolescenti a raggiungere un bel sorriso correggendo gli affollamenti e le malocclusioni presenti.

Adulti
Gli adulti a migliorare il sorriso e la salute della propria bocca.

Trattamenti Ortodontici
Personalizzati di Alta Qualità
Consiglio la terapia ortodontica solo quando questa porta a dei benefici reali per i miei pazienti conoscendo bene i rischi e i limiti dei vari tipi di apparecchi
Mi piace essere sempre aggiornata sugli studi correnti e sulle novità tecnologiche quando queste rappresentano un vantaggio per i miei pazienti.
Mi avvalgo della collaborazione di professionisti di altissimo livello durante la mia attività, quali chirurghi maxillo-facciali, logopediste, otorino-laringoiatri, osteopati e fisioterapisti.
Offro una vasta gamma di trattamenti, tra cui apparecchi mobili e fissi tradizionali, vestibolari, linguali, e gli allineatori trasparenti per rispondere alle richieste estetiche dei miei pazienti.
Utilizzo diversi tipi di apparecchi a seconda del tipo di malocclusione da trattare e dell’età dei pazienti:
come l’espansore fisso o altri apparecchi palatali fissi o removibile come il Twin Block, apparecchi fissi visibili in metallo ed estetici, gli apparecchi fissi linguali che non si vedono e gli allineatori trasparenti.
Mi piace intervenire con la terapia giusta al momento giusto della crescita dei giovani pazienti per garantire i maggiori benefici nel minor tempo possibile, riducendo così al minimo i rischi.
Per me ogni trattamento è personalizzato, fatto su misura per rispondere alle esigenze specifiche di ogni paziente, sempre con un occhio di riguardo per la minima invasività ed il comfort.















Trattamenti mini invasivi




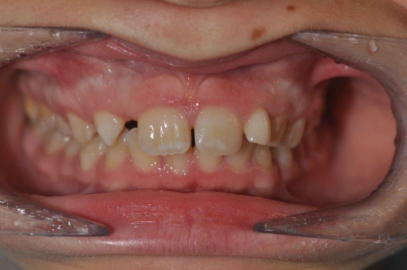
I casi clinici che ho eseguito
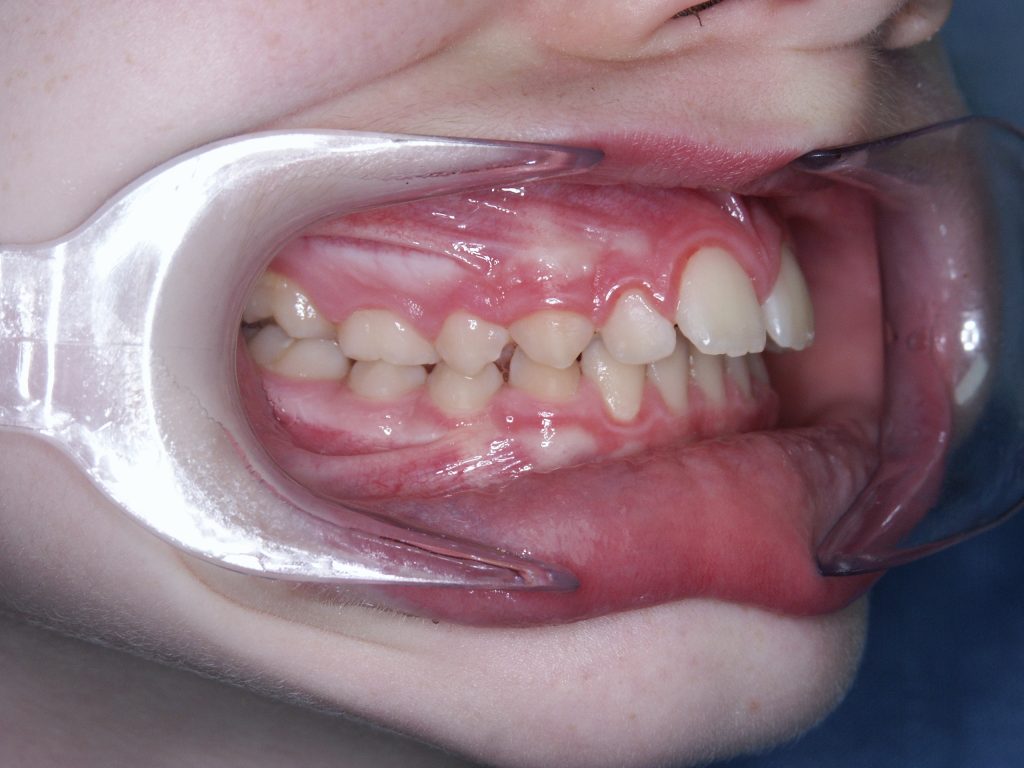
Il sorriso di Sofia

Sofia aveva un palato molto stretto e poco spazio per i denti. Ho trattato il problema con due espansori palatali durante l’infanzia per allargare il palato. In adolescenza, ho usato un apparecchio fisso per allineare i denti. Ora ha un sorriso perfetto.



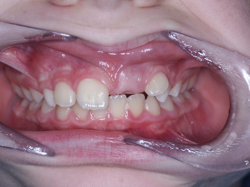
Il sorriso di Giacomo

Giacomo aveva un problema di III classe dentale e scheletrica, con un morso non corretto. Per correggere la situazione, ho utilizzato la Maschera di Delaire per avanzare il mascellare superiore. In seguito, abbiamo applicato un apparecchio fisso vestibolare per sistemare i denti. Ora Giacomo ha un morso e un sorriso ben equilibrati.

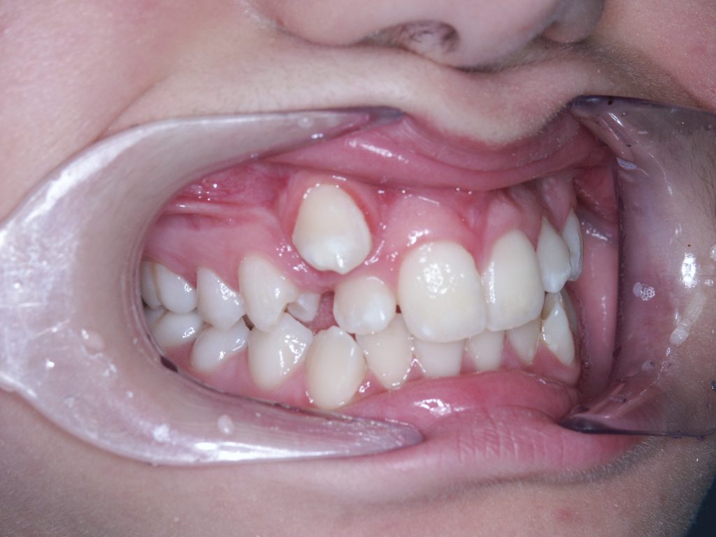
Il sorriso di Francesca

Francesca aveva un morso profondo e una II classe dentale e scheletrica. Ho iniziato con un apparecchio funzionale per correggere la posizione della mandibola. Poi, abbiamo usato un apparecchio fisso vestibolare per allineare i denti e completare il trattamento. Ora Francesca ha un sorriso sano e ben bilanciato.


Rispondendo a qualche domanda

Il tempo necessario per un trattamento ortodontico dipende dalla complessità del problema da trattare. In media, un trattamento può durare dai 18 ai 24 mesi. Alcuni casi più semplici possono essere risolti in meno tempo, mentre situazioni più complesse possono richiedere periodi più lunghi. Durante la prima visita, esaminerò attentamente la tua situazione e fornirò una stima più precisa della durata del trattamento basata sulla tua condizione specifica.
È normale avvertire un po' di fastidio o dolore iniziale quando si indossa un nuovo apparecchio ortodontico. Questo disagio è temporaneo e si verifica perché i denti si stanno muovendo per allinearsi nella posizione corretta. Il dolore di solito scompare entro pochi giorni. Per alleviare il disagio, puoi utilizzare antidolorifici da banco, seguire una dieta morbida nei primi giorni e mantenere una buona igiene orale. Se il dolore persiste, contattami per un controllo.
Assolutamente sì! L'ortodonzia non è solo per i bambini e gli adolescenti. Sempre più adulti scelgono di migliorare il loro sorriso e la salute dentale attraverso i trattamenti ortodontici. Offro diverse soluzioni discrete, come gli allineatori trasparenti, che sono perfetti per gli adulti che desiderano un trattamento poco visibile. Inoltre, le tecniche ortodontiche moderne permettono di ottenere risultati eccellenti anche in età adulta, migliorando sia l’estetica che la funzionalità della bocca.
Il costo di un trattamento ortodontico varia a seconda del tipo di trattamento necessario, della durata e della complessità del caso. Durante la prima visita, discuteremo delle opzioni di trattamento e dei relativi costi, trovando la soluzione che meglio si adatta alle tue esigenze e al tuo budget. Offro anche piani di pagamento flessibili per rendere i trattamenti ortodontici accessibili a tutti i miei pazienti. È importante considerare l'investimento nella tua salute dentale come un contributo al tuo benessere complessivo e alla tua autostima.
Non trovi la risposta che stavi cercando?
Studio Fonzar
- Strada dei Tigli, 54/56 | Villa Primavera (UD)
- +39 043269500
- +39 0432699441
- studiofonzar@studiofonzar.it
Dental Velvet Clinic
- Via Emondo De Amicis, 14/A | Gonars (UD)
- +39 0432 931421
- +39 0432 931731
- comfortclinic@dentalvelvet.it
Studio dentistico Peruzzi Maria Ludovica
- Via Feltrina 1/E2 | Loc. Signoressa 31040 Trevignano (TV)
- +39 0423 871282
- +39 347 7146097
- ml.peruzzi@gmail.com

















